Salmonexpert, L. Asencio R., F. Vera y A. Romero.
Un estudio científico realizado por investigadores de la Faculdad de Ciencias de la Naturaleza de la Universidad San Sebastián, sede Patagonia en Puerto Montt, evaluó el impacto de la bacteria Piscirickettsia Salmonis en el bienestar de salmones del Atlántico.
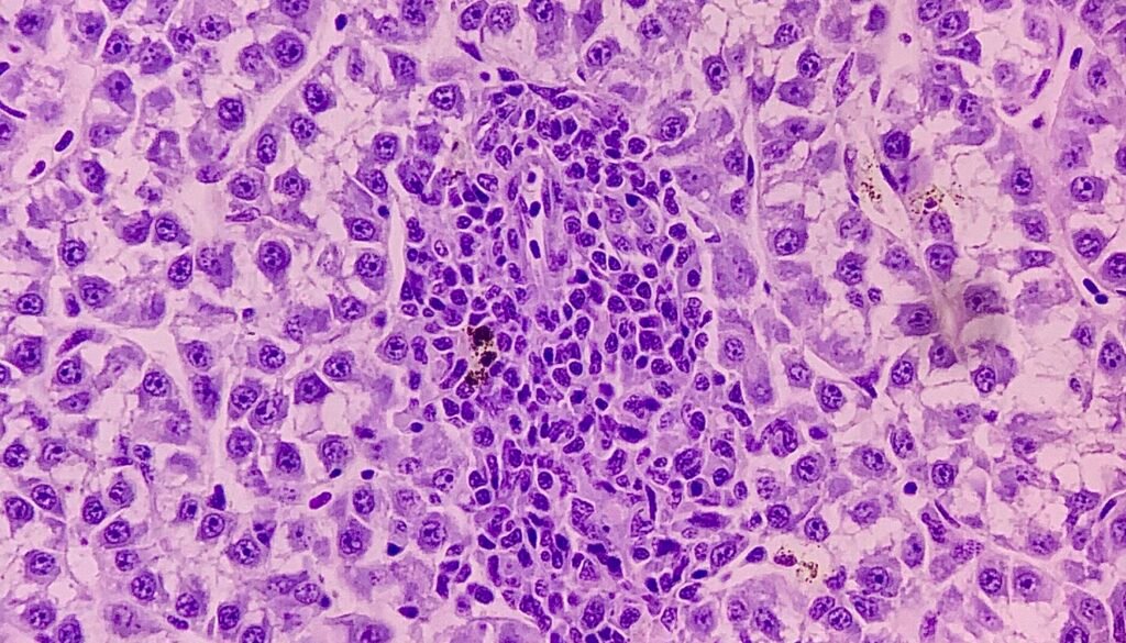
La investigación analizó experimentalmente peces infectados con dos cepas de la bacteria, enfocándose en las lesiones histopatológicas presentes en órganos vitales como hígado, bazo y riñón. Los resultados evidenciaron daños relevantes en estos tejidos, incluyendo necrosis en el hígado, inflamación y acumulación de pigmentos en el bazo, además de la formación de granulomas en el riñón.
De acuerdo con los autores, estas alteraciones afectan el funcionamiento normal de los órganos y pueden comprometer el bienestar de los peces, generando efectos fisiológicos que impactan sus salud y capacidad de respuesta frente a la enfermedad.
El estudio también comparó la respuesta producida por distintas cepas del patógeno. Si bien una de ellas mostró mayores niveles de inflación en los órgano analizados, no se observaron diferencias estadísticamente significativas en el grado de daño entre ambas.
Los investigadores destacan que comprender el impacto de esta infección es fundamental para mejorar las estrategias sanitarias y las prácticas de manejo en la industria acuícola, contribuyendo al desarrollo de sistemas de producción más responsables y enfocados en el bienestar animal.

Infiltrado inflamatorio en tejido hético de salmón del Atlántico (H&E, 40X). Foto: Leslie Asencio.